DR. DIOGO MOURA REIS

Dr. Diogo Moura Reis
DDS
My inspiration is my patient
The respect for biology is critical for functional and aesthetic success
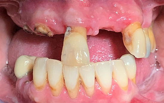
Case 1
Female 46 yo
Aesthetic compromise (high)
Functional compromise (moderate)
Low self esteem
Case 2
Female 62 yo
Aesthetic compromise (high)
Functional compromise (high)
Low self esteem
Case 3
Male 47 yo
Aesthetic compromise (high)
Functional compromise (moderate)
High expectations management
Case 1
Male 70 yo
Aesthetic compromise (high)
Functional compromise (high)
Bruxism
VDO compromise (moderate)
Case 2
Male 53 yo
Aesthetic compromise (high)
Functional compromise (high)
Bruxism
VDO compromise (high)
High expectations management
Case 3
Female 43 yo
Aesthetic compromise (high)
Functional compromise (moderate)
Case 1
Male 21 yo
Dental fracture by direct trauma
Occlusal limitations
Case 2
Male 44 yo
Dental fracture by direct trauma 11 and 21
Case 3
Female 39 yo
Aesthetic compromise (anterior diastemas)
Periodontal desease (control)
Implant and GBT
2 clinical cases










































































